其他
新闻详情

实例说明相机关键参数设置效果对比

发布时间:2024-01-06 09:25:27 浏览次数:1597

在机器视觉的相关应用中,总会涉及到图像的获取、检测,所以图像的质量对系统的测量检测结果有着非常重要的作用。图像的质量由照明、镜头和相机参数等诸多因素决定。下面通过图例,介绍如何设置相机的增益、补偿、清晰度、伽玛相关参数以优化图像质量。

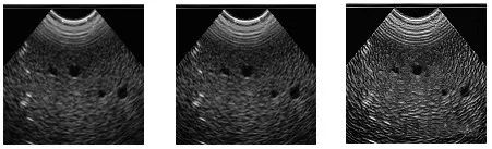
1、增益(对比度)

增益决定CCD输出信号的放大。可手动或自动调节这一参数,对输出信号进行放大可以增加对比度。然而,过高的增益会导致图像杂乱:

源图像                           增加对比度                         增益过高

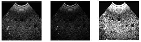
2、补偿(亮度)

这一补偿将被加入CCD的输出信号。此参数可以通过手动或自动方式调节。加入补偿将提高所有的灰度级。因此,图像看起来更明亮:

    源图像                        少许增加亮度                  过度增加亮度

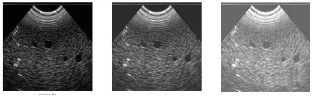
3、清晰度

可以使用该方法改善模糊的图像。然而,过度使用会导致图像变形:

     源图像                           提高清晰度                 过度提高清晰度

4、伽玛(Gamma)

伽玛参数可增加或减少中间灰度级,换句话说,该参数可以补偿显像管的非线性特性:

      源图像                      提高中间灰度级                降低中间灰度级

客服电话
  • 0755-23712116
  • 13310869691